Call: 979-836-5236

Welcome To Dream Dental


Our dental team is honored to serve our community by providing outstanding dentistry in Brenham, Texas, for patients of all ages. Our family-friendly office is invested in our patients, creating an environment of trust where quality service is our goal. Our diverse team speaks English and Spanish and is always ready to lend a helping hand. We are thrilled to get to know you and help you on your journey towards a healthy, gorgeous smile.  Call us today or visit our office.  We cannot wait to meet you!

A New & Beautiful Smile

What We Can Do For You

We value every patient and know that with compassionate care and excellent service, we can be your reason to smile.

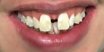
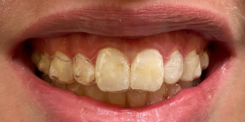
Invisalign®

Dr Hiteshkumar Devani
Before
Dr Hiteshkumar Devani
After

Smile Makeover

Dr Hiteshkumar Devani
Before
Dr Hiteshkumar Devani
After

Dental Implants

Dr Hiteshkumar Devani
Before
Dr Hiteshkumar Devani
After

Dental Crowns

Dr Hiteshkumar Devani
Before
Dr Hiteshkumar Devani
After

Considering

Invisalign?

Invisalign® and our technology

Invisalign clear aligners are one of the premier teeth straightening treatments offered in orthodontics and dentistry. At Dream Dental, we use digital imaging and 3D printing to create fully customized dental aligners for patients who want a more uniform smile. These clear aligners have a subtle appearance and blend into your teeth as they correct them, while also being fully removable for maximum comfort and flexibility. If you are a candidate for this treatment, our dentist will work with you to correct uneven teeth and achieve the smile of your dreams.

Dr Hiteshkumar Devani

Our dental practice is completely comprehensive. If you have a specific dental need, our team can help.

Our

Results

Another Happy Result

Our

Doctors

Dr Hiteshkumar Devani

Hiteshkumar Devani, DMD

Dr. Devani uses modern technology and intuitive treatments to help our patients’ smiles stay healthy and strong. His careful attention to detail and soothing presence allow you to feel at ease during your visits to our office. He believes that every patient deserves a positive experience and is devoted to making this happen.

Learn More
Skip to content